中国有色金属学报 2003,(04),854-858 DOI:10.19476/j.ysxb.1004.0609.2003.04.008
薄壁铸造铸态贮氢合金的电化学性能及微观分析
吴朝玲 陈云贵 陶明大 李锋 涂铭旌 唐定骧
四川大学金属材料系,四川大学金属材料系,四川大学金属材料系,四川大学金属材料系,四川大学金属材料系,四川大学金属材料系 成都610065 ,成都610065 ,成都610065 ,成都610065 ,成都610065 ,成都610065
摘 要:
讨论了壁厚(1~10mm)对无钕低铈低钴LPC(NiCoMnAlCuFeSi)5和商用成分Mm(NiCoMnAl)5铸态贮氢合金电化学性能的影响。研究发现:10mm厚的两种合金活化性能均优于1~6mm厚度合金;在0.2C充放电制度下,两种合金的放电容量对铸锭厚度均不敏感,LPC(NiCoMnAlCuFeSi)5合金的最大容量约为285mAh/g,Mm(NiCoMnAl)5合金的放电容量约为300mAh/g;在1C充放电制度下,LPC(NiCoMnAlCuFeSi)5合金的最大容量约为250mAh/g,对壁厚不敏感,Mm(NiCoMnAl)5合金的放电容量为250~280mAh/g,对壁厚敏感,并且前者显示出更好的循环稳定性。造成LPC(NiCoMnAlCuFeSi)5合金电化学性能对冷却速度不敏感的主要原因是元素Cu、Fe和Si的作用;晶胞参数和内应力等因素的交互作用也对该合金的性能有一定的影响。
关键词:
薄壁铸造 ;AB5型贮氢合金 ;铸态 ;电化学性能 ;稀土 ;
中图分类号: TG139.7
作者简介: 吴朝玲(1974),女,博士;电话:02885407335;Email:wmeimeiw@263.net;
收稿日期: 2002-10-08
基金: 四川省计划委员会重点攻关项目(1191(1997));
Electrochemical properties and microstructures of strip cast LPC(NiCoMnAlCuFeSi)5 and Mm(NiCoMnAl)5 hydrogen storage alloys
Abstract:
The effect of thickness of ascast ingots on the electrochemical properties of LPC(NiCoMnAlCuFeSi)5 and Mm(NiCoMnAl)5 hydrogen storage alloys was discussed. It is found that both alloys with 10 mm thickness show better activation property than those with 1~6 mm thickness. The maximum discharge capacity of both alloys at 0.2 C is insensitive to the thickness of the ingots. The maximum discharge capacity of LPC(NiCoMnAlCuFeSi)5 is about 285 mAh/g, and that of Mm(NiCoMnAl)5 is about 300 mAh/g. The maximum discharge capacity of LPC(NiCoMnAlCuFeSi)5 alloy at 1 C is around 250 mAh/g and is insensitive to the thickness of ingots; and that of Mm(NiCoMnAl)5 alloy is 250~280 mAh/g and is sensitive to the thickness. It is seen that the cyclic stability of the former is much better than that of the latter. The insensitivity of the electrochemical properties of LPC(NiCoMnAlCuFeSi)5 alloy to cooling rates is possibly due to the effect of Cu, Fe and Si. The interactions of crystal parameters and internal stress can also affect its properties to certain degrees.
Keyword:
strip casting; AB5 -type hydrogen storage alloys; as-cast; electrochemical properties; rare earths;
Received: 2002-10-08
LaNi5 型贮氢合金具有环保效果好、 价格低廉以及综合电化学性能优良的特点
[1 ,2 ]
。 迄今为止, 大多数研究者和生产商都用混合稀土替代纯镧稀土来生产该类合金。 本研究使用的LPC混合稀土是一种无钕低铈镧镨铈混合稀土, 它是从稀土矿中提取附加值高的Ce和Nd以后的副产品, 价格相对较低。 因此研究以LPC组成的稀土系贮氢合金有利于拓宽稀土资源的综合利用。
改善生产工艺, 如采用快淬
[3 ]
和退火
[4 ,5 ]
等, 是提高合金电化学性能行之有效的方法。 现行规模生产中一般采用10~30 mm厚的铸锭, 结果导致合金中某些元素的偏析。 因此, 有研究者提出采用快速凝固的方法使合金快速冷却, 从而获得更薄的、 厚度<1 mm的合金锭, 因为实验证明快速凝固可以消除偏析。 Zhang和他的同事
[6 ,7 ]
研究了铸造中冷却速度对贮氢合金及其制作的镍-金属氢化物(Ni/MH)电池性能的影响, 发现冷却速度没有明显地影响铸态合金的活化过程和循环寿命, 但是, 退火态的合金表现出更长的循环寿命, 但同时需要更长的活化过程。 李传健和他的研究小组
[8 ,9 ]
采用快淬工艺研究了快凝对合金电化学性能的影响, 结果发现: 高凝固速度可以极大地提高循环稳定性和放电电压特性, 但是导致容量下降, 特别是高倍率容量的下降; 而且, 合金活化性能降低。 采用快淬工艺也带来成本高和生产效率低的问题。
然而, 人们对厚度为1~10 mm的合金铸锭尚缺乏研究。 因此, 我们采用薄壁铸造的工艺, 以期优化贮氢合金的电化学性能及制备工艺。 本研究中还采用了一种低钴贮氢合金LPC(NiCoMnAlCuFeSi)5 以进一步降低合金的价格。 对比研究了薄壁铸造铸锭厚度对该合金和一种商用富铈高钴贮氢合金Mm(NiCoMnAl)5 电化学性能的影响。
1实验
所用贮氢合金为LPC(NiCoMnAlCuFeSi)5 (其中, LPC=(77%~84%)La+(5%~10%)Ce+(9%~12%)Pr), 以及Mm(NiCoMnAl)5 (其中Mm=(27%~32%)La+(43%~56%)Ce+(5%~7%)Pr)。 把两种合金在特制的铜模中浇注, 得到壁厚分别为1, 3, 6和10 mm的铸锭。 把铸态样研磨成<75 μm和<38 μm的粉末。 将<75 μm的粉末与铜粉以质量比1∶2均匀混合, 压制成片, 用于制备三电极电池的负极。 电池的正极为Ni(OH)2 , 参比电极为Hg/HgO。 用DC-5电池测试仪对三电极系统进行测试。 首先, 电极在小电流55 mA/g(0.2 C)下充电7.5 h, 再在相同的电流下放电至0.6 V(vs Hg/HgO)。 充放电若干周次后, 负极达到最高容量, 即完成了活化过程。 然后, 电极在大电流280 mA/g(1 C)下充电1.3 h, 再在相同的电流下放电至0.6 V(vs Hg/HgO)。 用DC-5测试仪记录下整个充放电循环中的数据。
用D/max-rA X射线衍射仪对<38 μm的LPC(NiCoMnAlCuFeSi)5 合金粉进行分析, 采用CuKα 靶。 合金锭用Hitachi-650扫描电镜(SEM)和EDAX9100能谱仪(EDS)进行测试分析。
2实验结果
前面的工作中我们已经研究了冷却速度对高钴LPC(NiCoMnAl)5 合金电化学特性的影响
[10 ]
。 本研究中, 不同的贮氢合金锭厚度对应于不同的冷却速度, 厚度为1 mm试样的冷却速度数量级为103 ℃/s, 厚度为10 mm试样的冷却速度数量级为102 ℃/s。
2.1最大放电容量和活化性能
图1所示为不同铸锭厚度的LPC(NiCoMnAlCuFeSi)5 和Mm(NiCoMnAl)5 贮氢合金在0.2 C充放电制度下不同循环周次时的放电容量。 可以看出, 两种合金都在10 mm处显示出最好的活化性能, 仅需循环2次即可完成活化, 而1~6 mm合金则需循环3次。 这说明高的冷却速度可能恶化活化性能, 这一结果与文献
[
8 ]
中用快淬法得到的结果一致。 两种合金的0.2 C曲线十分接近, 说明这两种合金的最大放电容量对冷却速度都不甚敏感。 另外, 低钴LPC(NiCoMnAlCuFeSi)5 合金的最大放电容量比Mm(NiCoMnAl)5 合金低6.9%~8.3%。
2.21 C放电容量和循环稳定性
图2所示为合金在1 C充放电循环249周中的放电容量变化情况。 从图2(a)中可见, 厚度对LPC(NiCoMnAlCuFeSi)5 合金的1 C放电容量影响轻微, 各个厚度下的容量曲线十分接近。 从表1中可以看到, 10 mm厚合金的活化性能仍然比1~6 mm厚合金略优。 计算结果还显示, 不同厚度下的放电容量衰减率数值大小接近。 这说明此类合金的大电流循环稳定性对冷却速度不敏感。
图1 铸锭厚度对铸态合金在0.2 C充放电制度下放电容量的影响
Fig.1 Effect of thickness of as-cast alloy ingots on 0.2 C discharge capacity (a)—LPC(NiCoMnAlCuFeSi)5 ; (b)—Mm(NiCoMnAl)5
表1 不同厚度贮氢合金的1C电化学性能
Table 1 Electrochemical properties of hydrogen storage alloys with different thickness at 1 C
Properties
Thickness of LPC(NiCoMnAlCuFeSi)5
Thickness of Mm(NiCoMnAl)5
1 mm
3 mm
6 mm
10 mm
1 mm
3 mm
6 mm
10 mm
1 C maximum discharge capacity/ (mAh·g-1 )
243
248
245
249
272
279
286
252
Cycle times for full activation
3
3
3
2
3
3
3
2
Discharge capacity decay rate/ (mAh·g-1 ·cycle-1 )
0.27
0.30
0.27
0.27
0.34
0.32
0.34
0.26
图2 铸态LPC(NiCoMnAlCuFeSi)5(a)和 Mm(NiCoMnAl)5(b)合金在不同厚度下的1 C循环稳定性曲线
Fig.2 Cyclic stability curves of LPC(NiCoMnAlCuFeSi)5 (a) and Mm(NiCoMnAl)5 with different thickness(as-cast) at 1 C
从图2(b)中可以看出, Mm(NiCoMnAl)5 合金的1 C放电容量随着厚度的增加呈现先升后降的趋势, 在厚度为6 mm时出现最大值。 10 mm厚合金的活化性能也优于其它厚度。 此外, 10 mm厚度合金的放电容量衰减率最低, 与低铈低钴的LPC(NiCoMnAlCuFeSi)5 合金相当, 且很接近。 从总体看, LPC(NiCoMnAlCuFeSi)5 合金比Mm(NiCo-MnAl)5 合金的循环稳定性好。
2.3倍率特性
图3所示为两种合金的高倍放电率(HRDE=C 1C /C 0.2C , C 1C 和C 0.2C 分别表示1 C和0.2 C下的最大放电容量)性能比较。 从图3(a)中可见, LPC(NiCoMnAlCuFeSi)5 合金的HRDE值随着铸锭厚度的增加几乎没有变化。 图3(b)中, 厚度为1~6 mm的Mm(NiCoMnAl)5 合金的HRDE值十分接近, 且均比LPC(NiCoMnAlCuFeSi)5 合金的高, 但10 mm厚合金的HRDE值明显低于其它厚度的。
3讨论
图4所示为铸态LPC(NiCoMnAlCuFeSi)5 合金的X射线衍射谱。 可见该合金的晶型结构属于CaCu5 型六方晶系, 未发现明显的第二相存在。
实验结果表明, XRD衍射峰的半高宽值FWHM随着铸锭厚度的增加而减小, 与文献
[
10 ]
中结果一致。 例如, 3 mm厚铸态试样的FWHM值在(200) 晶面处等于0.525, 而10 mm厚铸态试样的FWHM值在(200)晶面处降低到了0.500。 这主要归因于两个因素的作用: 晶粒尺寸和内应力。
图3 不同厚度的两种合金的高倍放电率
Fig.3 High-rate discharge efficiencies of both alloys with different thickness (a)—LPC(NiCoMnAlCuFeSi)5 ; (b)—Mm(NiCoMnAl)5
图4 铸态LPC(NiCoMnAlCuFeSi)5合金的XRD谱
Fig.4 XRD spectra of as-cast LPC(NiCoMnAlCuFeSi)5 (a)—10 mm; (b)—3mm
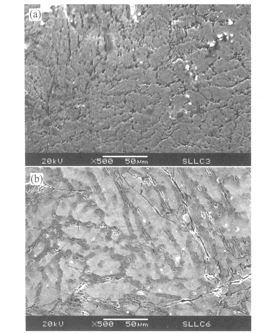
图5所示为3 mm和6 mm厚合金的显微组织。 可以清晰地看出, 随着合金锭厚度的降低, 晶粒尺寸变小。 而晶粒尺寸越小, XRD峰就越宽。 从铸造的角度来看, 合金锭冷却速度越快, 产生的内应力就越大。 因此, 3 mm厚合金的内应力应当比6 mm厚的更大, 这也会导致FWHM值的增大。 Mm(NiCoMnAl)5 合金具有相同的结果。
图5 LPC(NiCoMnAlCuFeSi)5合金的SEM照片
Fig.5 SEM images of LPC(NiCoMnAlCuFeSi)5 alloy with thickness of 3 mm (a) and 6 mm(b)
表2所示为铸锭厚度对LPC(NiCoMnAlCuFeSi)5 合金的晶胞参数的影响。 可见, 随着厚度的增加, 晶胞体积略有增大。 这对该合金放电容量的增加有一定贡献
[10 ,11 ,12 ]
。 但从合金0.2 C和1 C的放电容量曲线上看, 这种趋势并不明显。 因此, 可以断定, 晶胞体积大小不是影响该合金放电容量的主要因素。 造成其放电容量比Mm(NiCoMnAl)5 合金低的原因显然是Cu、 Fe和Si等代替Ni的元素的引入所致。
表2 铸态LPC(NiCoMnAlCuFeSi)5合金的晶胞常数
Table 2 Crystalline parameters of as-castLPC(NiCoMnAlCuFeSi)5 alloy
Thickness/mm
a /?
c /?
V /?3
3
4.98
4.07
87.35
10
4.99
4.05
87.48
4结论
1) 在所研究范围内, 10 mm厚的两种合金活化性能优于1~6 mm厚的合金。 10 mm厚合金需要活化2次, 其它厚度合金需活化3次。
2) 在0.2 C充放电制度下, 铸态LPC(NiCo-MnAlCuFeSi)5 和Mm(NiCoMnAl)5 合金的放电容量对铸锭的冷却速度均不敏感。 LPC(NiCoMnAlCuFeSi)5 合金的最大放电容量约为285 mAh/g, 而Mm(NiCoMnAl)5 合金的最大放电容量约为300 mAh/g。
3) 在1 C充放电制度下, 铸态LPC(NiCo-MnAlCuFeSi)5 合金的最大放电容量为250 mAh/g, 对壁厚不敏感; Mm(NiCoMnAl)5 合金的最大放电容量为250~280 mAh/g, 对壁厚敏感。 而且前者显示出更好的循环稳定性。
4) 造成LPC(NiCoMnAlCuFeSi)5 合金放电容量、 循环稳定性和倍率性能对冷却速度不敏感的原因主要是由于代替Ni的元素Cu、 Fe和Si的作用。 单胞参数和内应力等因素的交互作用也对该合金的电化学性能有一定的影响。
参考文献
[1] TetsuoS,ItukiU,HiroshiI.R&DonmetalhydridematerialsandNi MHbatteriesinJapan[J].JAlloysandCompd,1999,293295:762769.
[2] GaryS .Apanoramicoverviewofhydrogenstoragealloysfromagasreactionpointofview[J].JAlloysandCompd,1999,293295:877888.
[3] MishimaR ,MiyamuraH ,SakaiT ,etal.Hydrogenstoragealloysrapidlysolidifiedbythemelt spinningmethodandtheircharacteristicsasmetalhydrideelectrodes[J].JAlloysandCompd,1993,192:176178.
[4] NakamuraH ,NakamuraY ,FujitaniS ,etal.InfluenceofannealingonhydrogenationcharacteristicsandmicrostructureofLaNi4.55Al0.45alloy[J].JAlloysandCompd,1995,218:216220.
[5] HuWK ,KimDM ,JeonSW ,etal.StudiesonCo freerare earth basedhydrogenstoragealloys[J].JAlloysandCompd,1998,270:255264.
[6] ZhangLY .ElectrochemicalcharacteristicsofAB5 typehy drogenstoragealloyssolidifiedatdifferentcoolingrates[J].JAlloysandCompd,1999,293295:621625.
[7] ZhangLY ,KleinM ,CzajkowskiB ,etal.Effectsofcoolingrateduringcastingonperformanceofmetalhydrideelectrodesandnickel metalhydridebatteries[J].JAlloysandCompd,1999,293295:608612.
[8] 李传健,王新林,李岫梅,等.冷却速度对Ml(NiCoM nTi)5贮氢合金电化学性能的影响[J].金属学报,1998,34(3):288292.LIChuan jian,WANGXin lin,LIXiu mei,etal.Theef fectofcastrateontheelectrochemicalpropertiesofMl(NiCoMnTi)5hydrogenstoragealloy[J].ActaMetallurgicaSinica,1998,34(3):288292.
[9] 李传键,王新林,王崇愚.快淬Mm(NiCoMnTi)5贮氢合金的温度特性及其机理探讨[J].电源技术,1998,22(2):6871.LIChuan jian,WANGXin lin,WANGChong yu.Tempera turecharacterizationofthemelt spunMm(NiCoMnTi)5hydro genstoragealloyandthemechanismtherein[J].ChineseJPowerSources,1998,22(2):6871.
[10] WUChao ling,ChenYun gui,LiFeng,etal.Electro chemicalpropertiesofstripcastingLPCNi3.55Co0.75Mn0.4Al0.3 hydrogenstoragealloys[J].JRareEarths,2002,20(5):517521.
[11] YEH ,ZHANGH ,CHENGJX ,etal.EffectofNicontentonthestructure,thermodynamicandelectrochemicalproper tiesofthenon stoichiometrichydrogenstoragealloys[J].JAlloysandCompd,2000,308:163171.
[12] 任 可,雷永全,陈立新,等.Ml(Ni4.55-xCoxMn0.4Ti0.05)合金的相结构与电化学性能[J].金属学报,2000,36(4):364369.RENKe,LEIYong quan,CHENLi xin,etal.PhasestructuresandelectrochemicalpropertiesofMl(Ni4.55-xCoxMn0.4Ti0.05)(x=0.0~0.8)alloys[J].ActaMetallur gicaSinica,2000,36(4):364369.