网络首发时间: 2018-03-12 09:35
稀有金属 2018,42(12),1260-1266 DOI:10.13373/j.cnki.cjrm.xy17110026
热处理工艺对V-Ti-Ni氢分离合金显微组织和硬度的影响
江鹏 袁同心 肖思进 李秀亚 陈俊 孔德军
常州大学机械工程学院常州市模具先进制造高技术研究重点实验室
常州大学江苏省绿色过程装备重点实验室
摘 要:
在真空氩弧熔炼炉中制备V60Ti20Ni20合金, 采用硬度测试、金相显微镜 (OM) 、X射线衍射 (XRD) 、扫描电镜 (SEM) 和能谱 (EDS) 分析技术, 研究热处理温度和时间对V60Ti20Ni20合金显微组织和硬度的影响。结果表明, 铸态V60Ti20Ni20合金由枝晶相V基固溶体以及枝晶间相Ni Ti和Ni Ti2组成。合金铸锭在热处理保温15和18 h时, 随着热处理温度升高和保温时间的延长, Ti, Ni原子从枝晶相扩散至枝晶间区域速率增大, 扩散量增加, 导致V基体晶格畸变度逐渐减小, 同时枝晶间Ni Ti2相尺寸逐渐变细小和均匀, 合金硬度随之降低。热处理保温时间延长至21 h时, 合金随热处理温度升高, Ti, Ni原子回溶到枝晶相, V基体晶格畸变度增大, 同时枝晶间Ni Ti2相聚集、分布不均匀, 尺寸逐渐增大, 因此合金硬度反而随之升高。
关键词:
V-Ti-Ni合金 ;氢分离 ;热处理 ;显微组织 ;硬度 ;
中图分类号: TG146.413;TG166.7
作者简介: 江鹏 (1986-) , 男, 安徽桐城人, 博士, 讲师, 研究方向:有色合金制备与塑性成形;E-mail:peng.jiang@cczu.edu.cn;; *孔德军, 教授;电话:15961203760;E-mail:Kong-dejun@163.com;
收稿日期: 2017-11-16
基金: 国家自然科学基金项目 (51705038); 江苏省自然科学基金项目 (BK20150268); 常州市模具先进制造高技术研究重点实验室项目 (CM20173001) 资助;
Microstructure and Mechanical Properties of V-Ti-Ni Alloy for Hydrogen Separation with Heat Treatment Process
Jiang Peng Yuan Tongxin Xiao Sijin Li Xiuya Chen Jun Kong Dejun
Changzhou High Technology Research Key Laboratory of Mould Advanced Manufacturing, School of Mechanical Engineering, Changzhou University
Jiangsu Key Laboratory of Green Process Equipment, Changzhou University
Abstract:
The V60 Ti20 Ni20 alloy was prepared in a vacuum/argon arc melter. The effects of heat treatment temperature and time on the microstructure and hardness of V60 Ti20 Ni20 alloy were investigated by hardness test, metallographic microscope, X-ray diffraction ( XRD) , scanning electron microscopy ( SEM) and energy dispersive spectroscopy ( EDS) . The results showed that the as-cast V60 Ti20 Ni20 alloy consisted of dendritic V-based solid solution and interdendritic phases Ni Ti and Ni Ti2. With the increase of heat treatment temperature and time, the rate of diffusion of Ti and Ni atoms from dendrite phase to interdendritic zone and the diffusion quantity increased when the alloys were heat treated for 15 and 18 h, leading to that the lattice distortion of V matrix gradually decreased, while the size of Ni Ti2 phase gradually became smaller and more uniform, and the hardness of the alloys decreased accordingly. When heat treatment time was extended to 21 h, the Ti and Ni atoms dissolved into the dendrite phase with temperature increasing, the lattice distortion of the V matrix increased, and the interdendritic Ni Ti2 phases accumulated and the size gradually increased, therefore, the hardness of the alloy instead increased accordingly.
Keyword:
V-Ti-Ni alloy; hydrogen separation; heat treatment; microstructure; hardness;
Received: 2017-11-16
化石燃料的使用带来了严重的环境污染
[1 ]
, H2 具有能量密度高 (14235 kJ·kg-1 ) 、热转化效率高、输送成本低、对环境零污染等诸多优点, 是未来最具竞争力的能源
[2 ]
。目前氢主要应用于化工、燃料电池、汽车和半导体行业等
[3 ,4 ,5 ,6 ]
。化石燃料制氢是目前商业化主要制氢方式, 包括天然气蒸汽重整、部分氧化和水相重整等方法
[7 ]
。由于生产过程中还会有CO, CO2 , N2 , H2 S和H2 O的产生, 所以从混合气体中分离提纯出符合要求的H2 是很重要的
[8 ]
。金属膜分离法, 采用“溶解-扩散”机制
[9 ,10 ,11 ]
, 具有较好的机械性能、热稳定性和高的透氢率等优势。目前应用最为广泛的是Pd-Ag合金膜, 但Pd-Ag合金膜应用成本太高。
第五族元素V, Ta和Nb为体心立方体 (bcc) 结构, 由于V与Ta和Nb相比, 具有更广的合金成分范围内的体心立方结构保持能力, 对氢具有很好的渗透性, 价格与钯相比较低, 所以V受到广泛关注
[12 ]
。但在透氢过程中, V易与H结合生成VHx (x=0~2)
[13 ]
, 当x>1.0时, 氢化物皆为面心立方体 (fcc) 结构, 体涨率明显增大, 抗粉化能力降低
[14 ]
。合金化与控制相组成是提高膜的综合性能的有效方法
[7 ]
。Nishimura等
[15 ]
在研究不同成分的镀有钯层的V-Ni合金膜的氢渗透性特征时, 发现V85 Ni15 这一成分合金在473~673 K温度范围内不仅拥有高的透氢率 (钯膜的2~5倍) , 而且对氢脆有很强的抑制作用。多相V-Ni-Ti合金系是目前研究较多的V基合金膜。据V-Ti-Ni合金相图
[16 ]
可知, 当V成分大于50%, Ni和Ti原子比相等, V-Ti-Ni合金会形成BCC结构的富V相和含Ni Ti和Ni Ti2 的共晶组织。BCC相能保持高的透氢率, 而共晶组织则能抑制氢脆, 提高机械强度和延展性。根据氢在金属膜的渗透量J的表达式:
式中:Φ表示渗透率;P1 和P2 表示进气侧和出气侧的氢分压;L表示膜的厚度。金属膜的透氢量随着膜的厚度的增加而降低, 厚度的减小而增加。所以目前增加合金膜透氢量最有效的方式是降低合金膜的厚度。广泛应用于金属薄膜制造的轧制工艺可用来成形透氢合金膜, 减小膜的厚度, 提高氢渗透量。V-Ti-Ni多相合金目前都是通过在水冷Cu盘上氩弧熔炼而成, 合金中会形成亚稳相以及枝晶偏析, 不利于合金膜的轧制成形, 因此对合金进行合理的热处理以减少偏析、提高塑性也是必要的。
本工作以V60 Ti20 Ni20 合金为对象, 讨论热处理工艺对合金显微组织与力学性能的影响, 优化热处理工艺参数, 提高合金膜的轧制成形能力。
1 实验
利用高纯度的V, Ti和Ni为原料, 在图1所示真空氩弧熔炼炉中制备合金V60 Ti20 Ni20 (%, 原子分数) 的铸锭。氩弧熔炼炉主要组成包括:电源系统, 冷却系统, 抽真空系统, 手弧焊整流器, 熔炼系统和氩气气路。铸锭经多次翻转重熔以保证铸件成分均匀。利用电火花线切割把铸锭制成10 mm×10 mm×4 mm的热处理小样。由于V基合金高温易氧化, 所以热处理需在真空或保护气条件下进行。本工作把样品放置于充满高纯氩气的石英管中进行热处理。
样品分别在不同的温度和时间下进行热处理。依据Ni-Ti二元合金相图
[17 ]
, 热处理温度应低于Ni Ti2 相熔点, 因此选择热处理温度为750, 800和850℃, 热处理时间分别为15, 18和21 h。冷却方式为空冷。
本工作采用HXD-1000TMS/LCD硬度计, 加载0.245和9.8 N保持时间10 s条件下, 分别对V60 Ti20 Ni20 合金的基体和整体硬度进行测量。每个样品采集10个数据点取平均值, 金属材料样品均进行机械磨平抛光并进行腐蚀, 以降低材料表面粗糙度对硬度测量值的影响
[18 ]
。
将铸态和热处理态的合金制成金相样品, 用腐蚀剂 (5%HF+10%HNO3 +85%H2 O, 体积分数) 进行腐蚀, 在VHX-700光学显微镜 (OM) 上观察微观结构。利用JSM-6360LA型扫描电镜显微镜 (SEM) 观察抛光后无腐蚀的样品的显微组织以及进行成分分析。合金的物相分析采用日本理学D/MAX2500型X射线粉末衍射仪 (XRD, Cu Kα) 进行, 其参数:加速电压为40 k V, 电流为0.02 m A。
图1 真空氩弧熔炼示意图Fig.1 Schematic diagram for vacuum/argon arc melter
2 结果与讨论
2.1 铸态合金显微组织
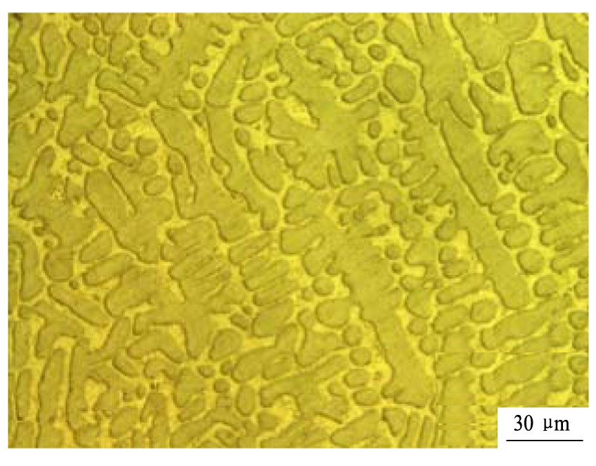
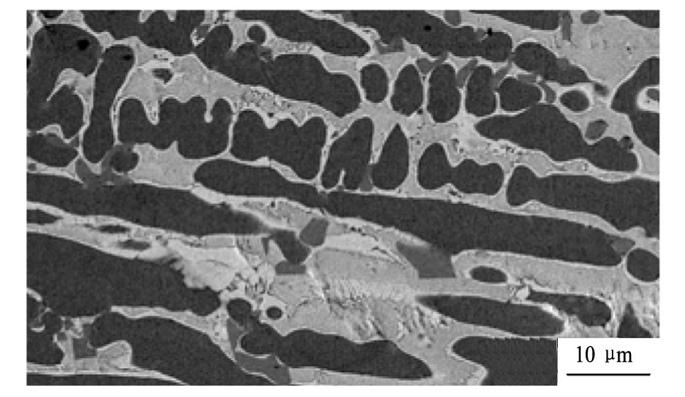
铸态V60 Ti20 Ni20 合金光学显微组织如图2所示, 由枝晶和枝晶间相构成。V, Ni和Ti的熔点分别为1890, 1453.0和1678℃, 合金的结晶温度范围越宽, 其凝固的区域就越宽, 枝晶往往也越发达。因此V60 Ti20 Ni20 合金呈现明显的枝晶组织。图3为铸态V60 Ti20 Ni20 合金SEM像, 其中存在3种衬度不同的相:黑色的枝晶相、灰色和白色的枝晶间相。结合3种相的能谱 (EDS) 数据 (表1) 和XRD谱 (图4) , 可以确定黑色相为V基固溶体, 灰色的为Ni Ti2 相, 白色的为Ni Ti相。
V60 Ti20 Ni20 合金中除熔点高的V基固溶体外, Ni和Ti元素富集的枝晶间区域由Ni Ti和Ni Ti2 相组成。当V基固溶体凝固结晶时, Ni和Ti在V中的溶解度随温度的降低而降低, V基固溶体向周围液相排出多余的溶质原子, 使得Ni和Ti原子在固溶体周围富集填充在枝晶间, 形成枝晶间的Ni Ti和Ni Ti2 金属化合物。Ni-Ti中Ni原子的扩散速率要大于Ti原子的扩散速率
[19 ]
, 在反应过程中质量传输不平衡会使部分区域的Ti含量要大于Ni的含量, 形成了富Ti区, 因而在冷却的过程中造成了少量Ni Ti2 相的析出 (Ni Ti→Ni Ti+Ni Ti2 ) 。
图2 氩弧熔炼V60Ti20Ni20合金铸锭的OM像Fig.2 OM image of arc-melted V60Ti20Ni20alloy ingot
图3 氩弧熔炼V60Ti20Ni20合金铸锭的背散射SEM像Fig.3 BSE-SEM image of V60Ti20Ni20alloy ingot produced by argon arc melting
表1 EDS测的铸态合金各相元素含量Table 1 Elements content of different phases in as-cast al-loy measured by EDS 下载原图
表1 EDS测的铸态合金各相元素含量Table 1 Elements content of different phases in as-cast al-loy measured by EDS
图4 铸态和不同热处理温度下保温18 h的V60Ti20Ni20合金XRD谱图Fig.4 XRD patterns of as-cast and heat treated V60Ti20Ni20al-loys at various temperatures for 18 h
2.2 热处理态合金显微组织
2.2.1 热处理温度对显微组织的影响
V-Ti-Ni合金通过电弧熔炼制备时采用水冷的方式进行冷却, 使合金形成过饱和的亚稳定状态组织。合金热处理过程遵从菲克第一定律和Arrhenius公式
[20 ]
。
菲克第一定律:
式中, 负号表示原子扩散的流动方向与浓度梯度方向相反;J表示扩散通量;D表示扩散系数;C表示物质的体积浓度;x表示扩散方向。
Arrhenius公式:
式中, D为扩散系数;D0 为频率因子;Q为扩散激活能;R为气体常数;T为热力学温度。由 (2) 和 (3) 可知, D与T成指数关系, 随着温度的升高, 扩散系数急剧增大。随着扩散系数D的增大, 材料的扩散通量J会增大。所以对铸态V60 Ti20 Ni20 合金进行热处理, 随着热处理温度或保温时间的增长, 会影响合金显微组织和合金元素分布。
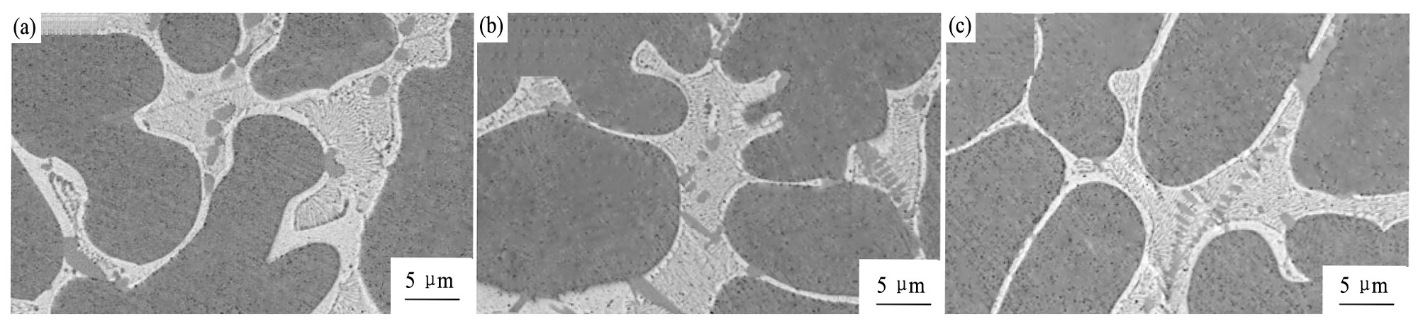
图5为V60 Ti20 Ni20 合金在不同温度下进行热处理15 h后背散射电子 (BSE) -SEM像。如图5所示, 随着热处理温度的升高, 枝晶间区域中的NiTi2 相变化最显著。铸态时, Ni Ti2 相在靠近枝晶分布, 并且较为集中, 尺寸较大 (如图3所示) 。当热处理温度为750℃时, Ni Ti2 相在整个枝晶间区域较均匀的分布, 形状大小也由铸态的相对大的椭圆和少数块状变为更加细小的椭圆形 (图5 (a) ) 。当温度升高到800℃时, 合金中的Ni Ti2 相进一步细化, 在枝晶间区域分布中更加的均匀 (图5 (b) ) 。热处理温度为850℃时, Ni Ti2 相在不规则的枝晶间区域变得更加细小, 长条状的Ni Ti2 相基本消失 (图5 (c) ) 。从而可以表明:V60 Ti20 Ni20 铸态合金在保温15 h的条件下, 随着热处理温度的升高, Ni Ti2 相分布更加均匀。
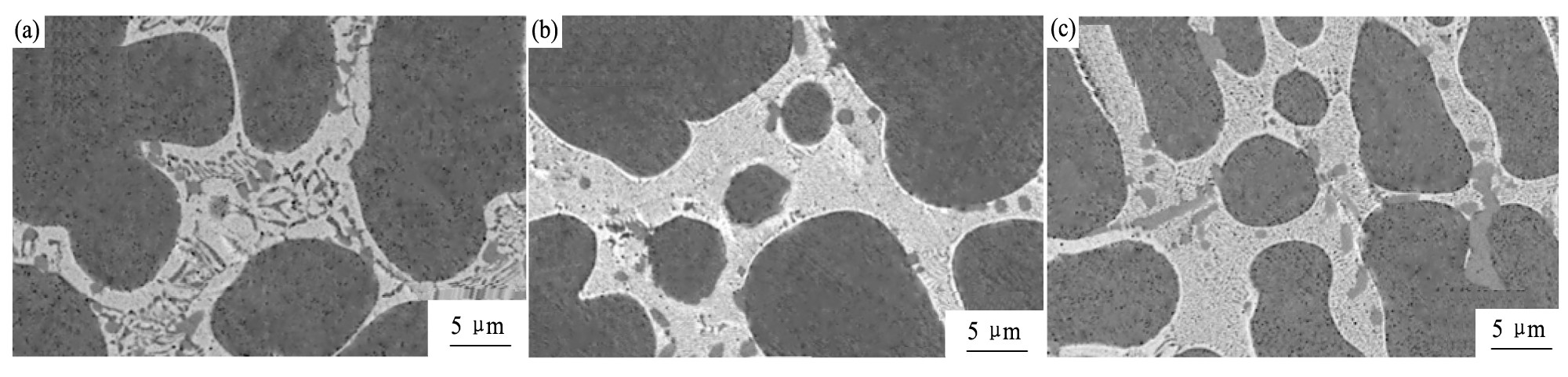
V60 Ti20 Ni20 合金在不同温度下进行热处理18 h后的BSE-SEM像如图6所示。从图6中可以看出, 随着温度的升高, 合金组织分布趋于均匀稳定。当热处理温度为750℃时, 合金中Ni Ti2 相相对于铸态时的相更加细小均匀 (图6 (a) ) 。当温度达到800℃时, Ni Ti2 相所占区域有所增大 (图6 (b) ) 。当温度达到850℃时, 合金中Ni Ti2 相分布和大小相对于800℃时没有明显变化 (图6 (c) ) 。从图4的XRD谱看出, V60 Ti20 Ni20 合金在热处理保温18h后, 钒基固溶体的衍射峰随热处理温度升高先向高角度偏移。当温度达到850℃时, 衍射峰又向低角度偏移, 表明V60 Ti20 Ni20 合金元素分布在热处理过程中可能发生了变化。
图7为V60 Ti20 Ni20 合金在不同温度下进行热处理21 h后BSE-SEM像。在750℃热处理时, 合金组织中Ni Ti2 相在枝晶间相区域中均匀分布。当温度上升到800℃时, 合金中的Ni Ti2 相减少。当温度为850℃时, Ni Ti2 相相对于750℃时又有所增加。
图5 V60Ti20Ni20合金在不同温度下热处理15 h的SEM像Fig.5 BES-SEM images of V60Ti20Ni20alloys heat treated at various temperatures for 15 h
(a) 750℃; (b) 800℃; (c) 850℃
图6 V60Ti20Ni20合金在不同温度下热处理18 h的背散射电子SEM像Fig.6 BES-SEM images of V60Ti20Ni20alloys heat treated at various temperatures for 18 h
(a) 750℃; (b) 800℃; (c) 850℃
图7 V60Ti20Ni20合金在不同温度下热处理21 h的背散射电子SEM像Fig.7 BES-SEM images of V60Ti20Ni20alloys heat treated at various temperatures for 21 h
(a) 750℃; (b) 800℃; (c) 850℃
2.2.2 热处理时间对显微组织的影响
V60 Ti20 Ni20 合金在750℃热处理时, 随时间变化的显微组织如图5 (a) , 6 (a) 和7 (a) 所示。在保温15 h后, 枝晶间区域的Ni Ti2 相与铸态时相比, Ni Ti2 相变得更加细小, 更均匀的分布于枝晶间区域 (图5 (a) ) 。当保温时间为18 h时, Ni Ti2 相进一步减少 (图6 (a) ) 。从Ni Ti2 相变化可以推断出, 保温时间的增长, 有利于合金元素的均匀分布。当保温时间达到21 h时, 合金中的Ni Ti2 相相对于保温18 h条件下没有出现太明显的变化 (图7 (a) ) 。利用XRD测得的V60 Ti20 Ni20 合金热处理后V基体 (211) 晶面衍射角如表2所示。铸态合金钒基体和纯钒 (211) 晶面衍射角的大小分别为76.88和77.08, 可以看出合金在750℃热处理过程中, 衍射角度随热处理时间不断增大。根据布拉格方
程[21
] :
和立方晶系晶面距计算公式
[22 ]
:
式中, dhkl 为在简化布拉格方程中衍射面间距;θ为布拉格角或扫射角;λ为入射X射线波长。d为晶间距;a为晶格常数;h, k, l为晶面常数。可以发现, 当θ角在0°~90°时, 晶格常数a随着θ角的增大而减小, 则铸态V60 Ti20 Ni20 合金的晶格常数随着热处理保温时间的增长而逐渐减小, 最终接近纯钒的晶格常数。在750℃进行热处理保温21 h后, V60 Ti20 Ni20 合金的EDS谱显示V基固溶体中V, Ti和Ni原子百分数分别为81.34%, 10.40%和8.27%, 与表1中铸态合金元素原子百分数对比可以发现, V基固溶体中Ni元素含量基本不变, V原子的含量有所升高, Ti元素含量降低。V的原子半径为0.1316 nm, Ti的原子半径为0.1462 nm, Ni的原子半径为0.124 nm, V与Ti的原子半径差较V与Ni的原子半径差大, Ti对V晶格畸变度影响大, 从而影响合金的力学性能。
表2 V60 Ti20 Ni20 合金热处理后V基体 (211) 晶面衍射角 (°) Table 2Diffraction angle of (211) crystal plane of V60 Ti20 Ni20 alloy after heat treatment (°) 下载原图
表2 V60 Ti20 Ni20 合金热处理后V基体 (211) 晶面衍射角 (°) Table 2Diffraction angle of (211) crystal plane of V60 Ti20 Ni20 alloy after heat treatment (°)
V60 Ti20 Ni20 合金在800℃下热处理随时间变化显微组织如图5 (b) , 6 (b) 和7 (b) 所示, 随保温时间增加Ni Ti2 相分布均匀和尺寸变小。当保温时间延长至21 h, 合金中Ni Ti2 相开始聚集, 但相对18 h的变化不大。从表2的合金800℃保温15, 18和21 h的 (211) 晶面的衍射角可知V基固溶体中合金晶格常数在热处理15~18 h变化较大, 但随热处理时间继续延长变化不大。
V60 Ti20 Ni20 合金在850℃下热处理随时间变化显微组织如图5 (c) , 6 (c) 和7 (c) 所示。合金中Ni Ti2 相对于铸态情况下有明显的均匀化和细小化改变。但随着热处理保温时间的增长, 合金组织并没有明显的变化, 表明在850℃热处理条件下, 保温时间对合金相组织影响不大。从表2的合金850℃保温15, 18和21 h的 (211) 晶面的衍射角可知V基固溶体中合金晶格常数并没有太大的变化。
2.3 显微硬度
图8中为V60 Ti20 Ni20 合金采用小载荷0.245 N和大载荷9.8 N分别测量的合金基体和整体硬度值随热处理温度变化的曲线。合金基体硬度变化曲线如图8 (a) 所示。从图8中可以看出, 热处理后的V60 Ti20 Ni20 合金基体硬度相较于铸态硬度有显著的降低, 但在不同的热处理工艺下, 合金基体的硬度降低幅度不同。当热处理温度为750℃时, 合金基体硬度随保温时间的增长而下降。当温度为800和850℃时, 合金在15~18 h进行保温处理时, 合金基体硬度呈下降趋势。当保温时间为21 h时, 合金基体硬度值出现了不同程度的回升。对于合金硬度的降低, 可能是铸态合金在热处理过程中残余应力减少, 以及基体中的Ni和Ti元素的向外扩散, V的晶格畸变程度降低, 使得合金基体硬度降低。而对于硬度的回升, 可能是温度升高保温时间达到一定值时, 枝晶间区域中的Ni, Ti重新溶到V基固溶体中, V晶格的常数增大, 晶格畸变程度增加。当热处理温度为750℃时, 随着保温时间的增长, 衍射角逐渐增大, 当热处理温度为800和850℃, 合金基体 (211) 晶面衍射角随着保温时间的增长先增大后减小。根据式 (4) 和 (5) 得出的结论可知, 合金基体晶格常数的大小在随基体 (211) 晶面衍射角增大逐渐减小, 随衍射角减小而增大。衍射角的变化说明V基体内Ti, Ni元素含量发生变化。图8 (b) 显示的是V60 Ti20 Ni20 合金整体硬度变化曲线。与V基体硬度变化趋势基本一致, 但合金整体硬度值高于V基体的硬度值。因此合金整体硬度变化与V基体的硬度变化相关。当热处理温度为750℃时, V60 Ti20 Ni20 合金整体硬度随保温时间的增长而降低。保温21 h后, 获得750℃热处理条件下的硬度最低值HV 249.02。当热处理温度为800和850℃时, 合金在保温18 h后获得各自条件下的硬度最低值, 分别为HV 241.48和HV 236.88。因此V60 Ti20 Ni20 合金热处理获得的较低硬度的热处理工艺参数是850℃保温18 h。NiTi2 相为硬脆相, 对V60 Ti20 Ni20 合金硬度变化也将有一定影响。当V60 Ti20 Ni20 合金热处理温度为750℃时, 随着保温时间的增长, Ni Ti2 相分布均匀化, 合金硬度逐渐降低。在保温18~21 h时, 800℃热处理使合金中Ni Ti2 相进一步细化, 合金整体的硬度降低;850℃热处理使合金的枝晶间区域的Ni Ti2 相逐渐增加, 合金硬度也增大。所以V60 Ti20 Ni20 合金整体硬度变化不仅与V基体硬度变化有关, 而且与合金热处理中Ni Ti2 相的变化有关。
图8 不同热处理温度和时间下V60Ti20Ni20合金基体和整体显微硬度变化Fig.8Microhardness of V60Ti20Ni20alloy under various tem-perature and time
(a) Matrix; (b) Bulk
3 结论
1.铸态V60 Ti20 Ni20 合金由于各相结晶先后顺序不同, 组织表现为典型的枝晶组织, 由枝晶相V基固溶体以及枝晶间相Ni Ti和Ni Ti2 组成。实验结果表明, V60 Ti20 Ni20 合金可以通过热处理降低硬度来提高轧制成形性能。合金较适宜的热处理工艺为850℃保温18 h。
2.合金在热处理保温15和18 h时, 随着热处理温度升高和保温时间的延长, Ti, Ni原子从枝晶相扩散至枝晶间区域速率增大, 扩散量增加, 导致V基体晶格畸变度逐渐减小, 同时枝晶间Ni Ti2 相尺寸逐渐变细小和均匀, 因此合金硬度随之降低。
3.热处理保温时间延长至21 h时, 合金随温度升高, Ti, Ni原子回溶到枝晶相, V基体晶格畸变度增大, 同时枝晶间Ni Ti2 相聚集、分布不均匀, 尺寸逐渐增大, 因此合金硬度反而随之升高。
参考文献
[1] Wang M X, Liao C J. Evaluation of nitrogen oxides emission from fossil fuel burning[J]. Contemporary Chemical Industry, 2011, 40 (3) :304. (王明星, 廖昌建.化石燃料燃烧过程中氮氧化物排放量的评估[J].当代化工, 2011, 40 (3) :304.)
[2] Cai Z L. Analysis of hydrogen energy and its application prospect[J]. Energy and Environment, 2008, (5) :39. (蔡炽柳.氢能及其应用前景分析[J].能源与环境, 2008, (5) :39.)
[3] Jacobson M Z, Colella W G, Golden D M. Cleaning the air and improving health with hydrogen fuel-cell vehicles[J]. Science, 2005, 308 (5730) :1901.
[4] Luo L, Wu W Y, Bian X, Qi J B. Research progress of vanadium-based solid solution hydrogen storage alloys[J]. Rare Metals, 2017, 41 (11) :1265. (罗龙, 吴文远, 边雪, 齐健博.钒基固溶体贮氢合金的研究进展[J].稀有金属, 2017, 41 (11) :1265.)
[5] Yuan B G, Zheng Y B, LüM, Gon L Q. Microstructures and mechanical properties of TC21 alloy after thermohydrogen processing[J]. Journal of Plasticity Engineering, 2016, 23 (5) :149. (袁宝国, 郑育彬, 吕萌, 龚龙清.经热氢处理后TC21合金的显微组织与力学性能[J].塑性工程学报, 2016, 23 (5) :149.)
[6] Jiang P, Liang D, Kellam M, Song G S, Yuan T X, Wu W P, Li X Y. Effect of rolling and annealing on microstructures and mechanical properties of V-Ti-Ni alloy for hydrogen separation[J]. Journal of Alloys and Compounds, 2017, 728:63.
[7] Jiang P, Yuan T X, Yu Y D. Effect of processing conditions on the microstructure and property of the multiphase V-Ti-Ni alloys for hydrogen purifying[J]. Acta Metallurgica Sinica, 2017, 53 (4) :433. (江鹏, 袁同心, 于彦东.加工条件对多相V-TiNi合金的显微组织和氢渗透性能的影响[J].金属学报, 2017, 53 (4) :433.)
[8] And S A, Fernando S. Hydrogen membrane separation techniques[J]. Industrial&Engineering Chemistry Research, 2006, 45 (3) :875.
[9] Lu G Q, Jc D D C, Duke M, Giessler S, Socolow R, Williams R H, Kreutz T. Inorganic membranes for hydrogen production and purification:a critical review and perspective[J]. Journal of Colloid&Interface Science, 2007, 314 (2) :589.
[10] Tosti S, Bettinali L, Violante V. Rolled thin Pd and Pd-Ag membranes for hydrogen separation and production[J]. International Journal of Hydrogen Energy, 2000, 25 (4) :319.
[11] Li X, Liu D, Liang X, Chen R, Rettenmayr M, Su Y, Guo J, Fu H. Hydrogen transport behavior of as-cast, cold rolled and annealed Nb40Ti30Co30 alloy membranes[J]. Journal of Membrane Science, 2016, 514:294.
[12] Song G, Dolan M D, Kellam M E, Liang D, Zambelli S. V-Ni-Ti multi-phase alloy membranes for hydrogen purification[J]. Journal of Alloys&Compounds, 2011, 509 (38) :9322.
[13] Chen C G, Wang C J. Progress in research on vanadium-based solid solution alloys as hydrogen storage material[J]. Materials Review, 2007, 21 (11) :68. (陈昌国, 王常江.贮氢材料钒基固溶体合金的研究进展[J].材料导报, 2007, 21 (11) :68.)
[14] Peng S M, Zhao P J. Simulation on crystal structures of metallic V and its hydrides[J]. Atomic Energy Science and Technology, 2000, 34 (5) :469. (彭述明, 赵鹏骥.金属钒及其氢化物的晶体结构模拟[J].原子能科学技术, 2000, 34 (5) :469.)
[15] Nishimura C, Komaki M, Hwang S, Amano M. V-Ni alloy membranes for hydrogen purification[J]. Journal of Alloys&Compounds, 2002, 330 (1) :902.
[16] Villars P, Prince A, Okamoto H. Handbook of Ternary Alloy Phase Diagrams[M]. ASM International, Russell Township, 1995. 8754.
[17] Massalski T B, Okamoto H, Subramanian P R, Kacprzak L. Binary Alloy Phase Diagrams[M]. Detroit:ASM International, 1996. 2874.
[18] Li J W, Hu Y J, Zhang B. Effect of ECAP deformation onβphase morphology and microhardness of H65 brass alloys[J]. Journal of Plasticity Engineering, 2017, 24 (6) :185. (李峻薇, 胡玉军, 张兵. ECAP变形对H65黄铜β相形态和显微硬度的影响[J].塑性工程学报, 2017, 24 (6) :185.)
[19] Zheng Y F, Zhao L C. Biomedical Nickel Titanium Alloy[M]. Beijing:Science Press, 2004. 25. (郑玉峰, 赵连成.生物医用镍钛合金[M].北京:科学出版社, 2004. 25.)
[20] Cao M S. Basis of Physical Metallur[M]. Beijing:Metallurgical Industry Press, 1985. 17. (曹明盛.物理冶金基础[M].北京:冶金工业出版社, 1985. 17.)
[21] Ma S L. The Study of X-ray Diffraction Metals[M]. Xi'an:Northwestern Polytechnical University Press, 1998. 51. (马世良.金属X射线衍射学[M].西北工业大学出版社, 1998. 51.)
[22] Zhu Z X, Yao K F. Engineering Materials (Fourth Edition) [M]. Beijing:Tsinghua University Press, 1998. 10. (朱张校, 姚可夫.工程材料.第4版[M].北京:清华大学出版社, 2009. 10.)