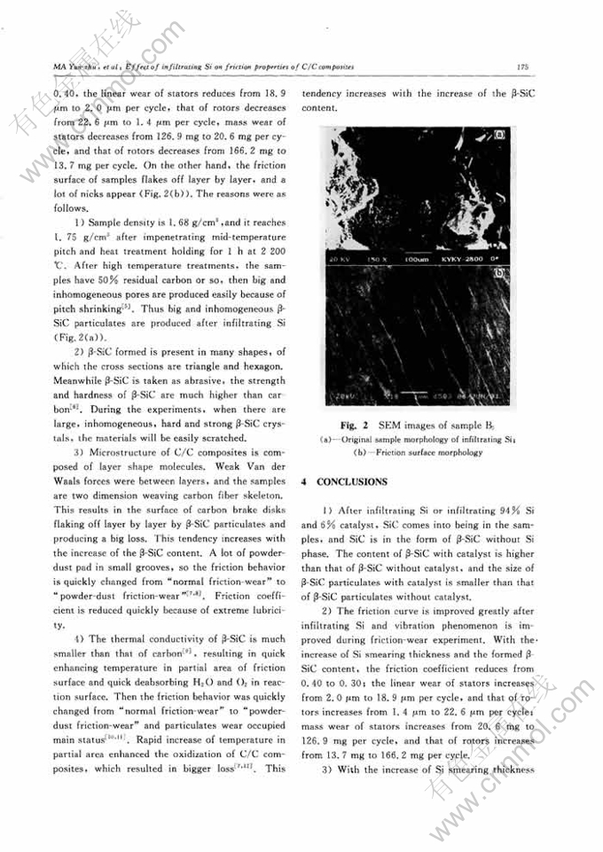
Effect of infiltrating Si on friction properties of C/C composites
来源期刊:中南大学学报(英文版)2003年第3期
论文作者:马运柱 黄伯云 熊翔 肖鹏 李江鸿 黄启忠 易茂忠
文章页码:173 - 176
Key words:C/C composites; infliti"ating Si; modifying property; friction mechanism
Abstract: In order to improve the friction-wear properties of the C/C composites for aircraft brake pairs, the friction behavior of samvples with infiltrating Si was investigated. The influence of Si smearing thickness on friction properties was studied in detail. The results show that with the increase of Si smearing thickness and B-SiC content, the friction coefficient reduces from 0. 40 to 0. 30;the linear wear of stators increases from 2. 0 um to 18. 9 um per cycle, and that of rovors increases from 1. 4 um to 22. 6 um per cycle; mass wear of stators increases from 20. 6 mg to 126. 9 mg per cycle, and that of rotors increases from 13. 7 mg to 166. 2 mg per cycle. On the other hand, when a large number of inhomogeneous (3-SiC particulates are performed, friction surfaces of the samples flake off layer by layer and many nicks are observed.



